Медицинский персонал Мариинской больницы готовит к выписке мужчину, который научился жить без пульса благодаря двум искусственным желудочкам сердца, имплантированным ему ранее. Данную информацию предоставил городской комитет по здравоохранению.
Пациент действительно уникальный — он живет без пульса, после того как в конце ноября 2025 года впервые в России ему были установлены два искусственных желудочка сердца — как левый, так и правый.
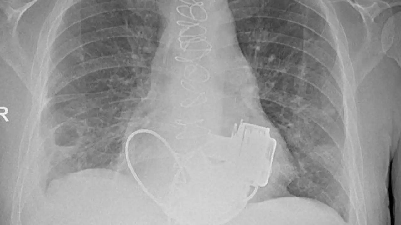
Мужчина попал в стационар с серьёзными проблемами сердца: кардиомиопатией и последней стадией сердечной недостаточности. Также у него наблюдались осложнения, включая тромбоэмболию лёгочной артерии и инфаркт-пневмонию, из-за чего трансплантация сердца не представлялась возможной. Поэтому главным врачом больницы Игорем Реутским было принято решение о вживлении двух искусственных желудочков, что является нестандартным, так как обычно имплантируется только один.
Операция, продолжавшаяся около четырёх часов, оказалась сложной, поскольку требовалось синхронизировать работу двух устройств. Однако хирургам удалось справиться с этой задачей, пишет ТАСС.
Как отметил главный внештатный специалист по сердечно-сосудистой хирургии Комитета здравоохранения и академик РАН Геннадий Хубулава, под руководством которого проводилась операция, это свидетельствует о высоком уровне развития кардиохирургии в учреждении.
В пресс-службе также отметили, что это уже десятая операция по имплантации таких вспомогательных устройств в Мариинской больнице. Теперь пациент адаптировался к жизни с двумя приборами и надеется, что вскоре сможет вернуться для ожидания донорского сердца.
Стоит отметить, что установка искусственных желудочков также называется "мостом" к трансплантации, поскольку она позволяет пациенту дожить до спасительной операции.

