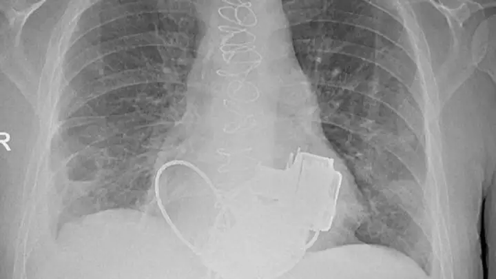
Прорыв в кардиохирургии: живущий без пульса пациент готовится к выписке В Мариинской больнице пациенту имплантировали два искусственных желудочка сердца.Студентка после операции нашла татуировку на языке Операция переместила татуировку британки с руки на язык, её жизнь изменилась.Китайские хирурги спасли обезглавленного роботом человека До операции у пациента несколько раз происходила остановка сердца.Впервые робот безупречно провёл операцию по удалению желчного пузыря Процедура была выполнена безукоризненно.Пациенты вернули себе обоняние после коронавируса благодаря операции Многие из них уже не надеялись снова почувствовать запахи.Ветеринары сняли на видео подготовку мини-пациента к мини-операции Мини-милота.Музыка после операции прекрасно заменяет обезболивающее В каждом исследовании участвовало около 100 человек.Хирург провел операцию, находясь за пять тысяч километров от пациентки Его помощником в этом деле стал робот, напоминающий Доктора Осьминога из «Человека Паука».Новый робот Sony провёл операцию на крошечном зерне кукурузы Такая машина может оперировать и нервы, и сосуды.Женщине одновременно пересадили почку от свиньи и сердечный имплантат Уникальный пациент с уникальной историей.Новая методика позволяет печатать живую кожу на ране без рубцов Технология уже была проверена на крысах.
Студентка после операции нашла татуировку на языке Операция переместила татуировку британки с руки на язык, её жизнь изменилась.Китайские хирурги спасли обезглавленного роботом человека До операции у пациента несколько раз происходила остановка сердца.Впервые робот безупречно провёл операцию по удалению желчного пузыря Процедура была выполнена безукоризненно.Пациенты вернули себе обоняние после коронавируса благодаря операции Многие из них уже не надеялись снова почувствовать запахи.Ветеринары сняли на видео подготовку мини-пациента к мини-операции Мини-милота.Музыка после операции прекрасно заменяет обезболивающее В каждом исследовании участвовало около 100 человек.Хирург провел операцию, находясь за пять тысяч километров от пациентки Его помощником в этом деле стал робот, напоминающий Доктора Осьминога из «Человека Паука».Новый робот Sony провёл операцию на крошечном зерне кукурузы Такая машина может оперировать и нервы, и сосуды.Женщине одновременно пересадили почку от свиньи и сердечный имплантат Уникальный пациент с уникальной историей.Новая методика позволяет печатать живую кожу на ране без рубцов Технология уже была проверена на крысах.
Китайские хирурги спасли обезглавленного роботом человека До операции у пациента несколько раз происходила остановка сердца.Впервые робот безупречно провёл операцию по удалению желчного пузыря Процедура была выполнена безукоризненно.Пациенты вернули себе обоняние после коронавируса благодаря операции Многие из них уже не надеялись снова почувствовать запахи.Ветеринары сняли на видео подготовку мини-пациента к мини-операции Мини-милота.Музыка после операции прекрасно заменяет обезболивающее В каждом исследовании участвовало около 100 человек.Хирург провел операцию, находясь за пять тысяч километров от пациентки Его помощником в этом деле стал робот, напоминающий Доктора Осьминога из «Человека Паука».Новый робот Sony провёл операцию на крошечном зерне кукурузы Такая машина может оперировать и нервы, и сосуды.Женщине одновременно пересадили почку от свиньи и сердечный имплантат Уникальный пациент с уникальной историей.Новая методика позволяет печатать живую кожу на ране без рубцов Технология уже была проверена на крысах.
Впервые робот безупречно провёл операцию по удалению желчного пузыря Процедура была выполнена безукоризненно.Пациенты вернули себе обоняние после коронавируса благодаря операции Многие из них уже не надеялись снова почувствовать запахи.Ветеринары сняли на видео подготовку мини-пациента к мини-операции Мини-милота.Музыка после операции прекрасно заменяет обезболивающее В каждом исследовании участвовало около 100 человек.Хирург провел операцию, находясь за пять тысяч километров от пациентки Его помощником в этом деле стал робот, напоминающий Доктора Осьминога из «Человека Паука».Новый робот Sony провёл операцию на крошечном зерне кукурузы Такая машина может оперировать и нервы, и сосуды.Женщине одновременно пересадили почку от свиньи и сердечный имплантат Уникальный пациент с уникальной историей.Новая методика позволяет печатать живую кожу на ране без рубцов Технология уже была проверена на крысах.
Пациенты вернули себе обоняние после коронавируса благодаря операции Многие из них уже не надеялись снова почувствовать запахи.Ветеринары сняли на видео подготовку мини-пациента к мини-операции Мини-милота.Музыка после операции прекрасно заменяет обезболивающее В каждом исследовании участвовало около 100 человек.Хирург провел операцию, находясь за пять тысяч километров от пациентки Его помощником в этом деле стал робот, напоминающий Доктора Осьминога из «Человека Паука».Новый робот Sony провёл операцию на крошечном зерне кукурузы Такая машина может оперировать и нервы, и сосуды.Женщине одновременно пересадили почку от свиньи и сердечный имплантат Уникальный пациент с уникальной историей.Новая методика позволяет печатать живую кожу на ране без рубцов Технология уже была проверена на крысах.
Ветеринары сняли на видео подготовку мини-пациента к мини-операции Мини-милота.Музыка после операции прекрасно заменяет обезболивающее В каждом исследовании участвовало около 100 человек.Хирург провел операцию, находясь за пять тысяч километров от пациентки Его помощником в этом деле стал робот, напоминающий Доктора Осьминога из «Человека Паука».Новый робот Sony провёл операцию на крошечном зерне кукурузы Такая машина может оперировать и нервы, и сосуды.Женщине одновременно пересадили почку от свиньи и сердечный имплантат Уникальный пациент с уникальной историей.Новая методика позволяет печатать живую кожу на ране без рубцов Технология уже была проверена на крысах.
Музыка после операции прекрасно заменяет обезболивающее В каждом исследовании участвовало около 100 человек.Хирург провел операцию, находясь за пять тысяч километров от пациентки Его помощником в этом деле стал робот, напоминающий Доктора Осьминога из «Человека Паука».Новый робот Sony провёл операцию на крошечном зерне кукурузы Такая машина может оперировать и нервы, и сосуды.Женщине одновременно пересадили почку от свиньи и сердечный имплантат Уникальный пациент с уникальной историей.Новая методика позволяет печатать живую кожу на ране без рубцов Технология уже была проверена на крысах.
Хирург провел операцию, находясь за пять тысяч километров от пациентки Его помощником в этом деле стал робот, напоминающий Доктора Осьминога из «Человека Паука».Новый робот Sony провёл операцию на крошечном зерне кукурузы Такая машина может оперировать и нервы, и сосуды.Женщине одновременно пересадили почку от свиньи и сердечный имплантат Уникальный пациент с уникальной историей.Новая методика позволяет печатать живую кожу на ране без рубцов Технология уже была проверена на крысах.
Новый робот Sony провёл операцию на крошечном зерне кукурузы Такая машина может оперировать и нервы, и сосуды.Женщине одновременно пересадили почку от свиньи и сердечный имплантат Уникальный пациент с уникальной историей.Новая методика позволяет печатать живую кожу на ране без рубцов Технология уже была проверена на крысах.
Женщине одновременно пересадили почку от свиньи и сердечный имплантат Уникальный пациент с уникальной историей.Новая методика позволяет печатать живую кожу на ране без рубцов Технология уже была проверена на крысах.
Новая методика позволяет печатать живую кожу на ране без рубцов Технология уже была проверена на крысах.